The Union Training and Education
Monthly ‘round-up’ news item – September 2023
Ready to make a difference in the fight against child tuberculosis?
Almost 250,000 children die from TB annually, most of whom are undiagnosed at the time of death. We also understand the need to close this diagnostic gap. But we also understand the challenge that there is no single diagnostic test for paediatric TB that has acceptable accuracy – this places heavy reliance on good clinical judgement and diagnostic algorithms.
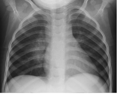
Chest X-Rays (CXR) play a pivotal role within these diagnostic algorithms, and so the interpretation of CXRs is now more relevant than ever in the fight against child TB.
That is why we are excited to inform you about a new FREE online course launched by The Union which can strengthen your team’s capabilities in child tuberculosis diagnosis: Interpretation of CXRs in Children with Presumptive TB

Why take this course?
Based on our Diagnostic CXR Atlas for Tuberculosis in Children: a Guide to Chest X-ray Interpretation (2nd edition, 2022), this course is designed to provide pragmatic guidance to healthcare professionals like you who work tirelessly to combat child tuberculosis in high-burden settings.
By enrolling in this course, you will:
- Understand how the CXR fits into the diagnostic decision-making process for paediatric TB.
- Gain confidence in identifying when a paediatric CXR is technically unacceptable, normal, or abnormal.
- Learn which CXR features are highly valuable in diagnosing paediatric TB and which are not.
Join us in making a significant impact on child tuberculosis diagnosis and treatment. Together, we can save lives and work towards a TB-free future for children worldwide.
