
100 years ago, on the 17th October 1920, at a time when there was no vaccine for TB, no diagnostic tools and no cure, representatives of 31 countries pledged to work together to fight the disease. Three days later they founded the International Union Against Tuberculosis to support and coordinate their efforts.
Since then, The Union has been at the forefront of the fight against TB and lung disease, developing revolutionary approaches to treatment and taking an active role in driving forward change – in health systems globally – and through engaging with decision makers to push policy and legislation.
Here is our story.

The Hygienist school of thought has its roots in 19th century France when TB and alcoholism were endemic, and food shortages, plague, cholera and wars were widespread. In 1800, just 20 million Europeans lived in cities with a population of more than 5000. This number rose to 150 million only a century later. This concentration of people caused many sanitary issues, which led the French authorities to develop practices to improve city life through the hygienist doctrine.
This ‘revolution’ led to the creation of a network of sewers, public washing facilities, fountains and urban parks. It was structured around the creation of institutions and laws, notably by the lawyer Eugène Poubelle. In 1884, who enacted law making it obligatory for landlords to give tenants covered containers for household waste.
Pivotal discoveries in the 19th century provided major breakthroughs in the centuries-long battle against TB. In 1854, dedicated health care centres known as Sanatoriums to treat TB patients were opened. The rationale for the creation of Sanatoriums was that a regimen of rest and good nutrition offered the best chance for the sufferer's immune system to "wall off" pockets of pulmonary TB infection. Patients were exposed to high altitude, fresh air and good nutrition. TB sanatoriums became common throughout Europe from the late-19th century onward.
International experts first convened in Paris in 1867 to discuss the intractable and pervasive problem of TB, then known as “The White Plague”, and which killed 1 out of every 4 people. This was the first in a series of international conferences that highlighted the need for a central organisation to coordinate meetings, disseminate the latest research and provide training and other resources.
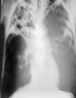
In France, Dr Jean-Antoine Villemin identified TB as a separate and communicable disease and presented his results at the 1867 Paris conference. Later, in Germany in 1882, Robert Koch identified Mycobacterium tuberculosis, which causes the disease, and in 1895, Wilhelm Rontgen discovered that X-Rays can be used to detect TB.

Smallpox caused the death of hundreds of millions of people before it was successfully eradicated in the twentieth century. Although an effective smallpox vaccine was first developed in England in 1796, it took over a century before vaccination became common place across Europe.
Key to this was the Franco Prussian war of 1870/1871. The Prussian army had made smallpox vaccination mandatory, but vaccination in the French army had fallen below fifty percent. This led to high mortality rates in French troops, but French prisoners of war also infected the German civilian population, leading to the Great Pandemic of 1870–1875, which killed millions. As a consequence, mandatory vaccination programmes were introduced in Britain, Sweden and Germany – and so began the long road to eliminating the disease.
At the end of the 19th century TB was a leading cause of death in Germany: in 1895 TB had a mortality rate of 249 per 100,000 people.
In the same year, the DZK was founded as the "German Central Committee for the Establishment of Sanatoria for Patients with Lung Diseases“. Its mission was the establishment of a central TB organization to support initiatives within national TB-control strategies, including the sanatorium movement. It also provided organizational and logistic support, education and information about TB, economic and hygienic aid for TB patients and promotion of science and research.
In 1899, The Union’s predecessor, the Central Bureau for the Prevention of Tuberculosis (DZK), was established in Berlin, and adopted the ‘Lorraine Cross’ as its symbol. In 1902 the first international TB Congress was held in Berlin and in 1906 Robert Koch joined the Committee. Several conferences were organised by the DZK, but it closed with the advent of the Great War, and the momentum was lost. Inevitably, the devastating war years and post-war period saw a huge upsurge of TB in Europe.
The alarming rates of TB infection within the French troops during the Great War, coupled with the country’s previous experience of the Franco-Prussian war, led French authorities to recognise its potential dangers to political and economic security. This led to the promulgation of two laws, which would highlight the ever-growing role of governments to protect the health of its populations. The ‘Léon Bourgeois’ legislation of 1916 imposed the creation of public health dispensaries in each department, known as the ‘Calmette dispensaries’. These were created by Albert Calmette in 1901, to provide free diagnosis, isolation and an adequate treatment for TB patients and their families. The ‘André Honnorat’ legislation of 1919 later imposed the creation of sanatoriums in each department to assist and treat French soldiers returning from the war.

French-led initiatives were strengthened by the Commission for the Prevention of Tuberculosis in France, funded by the Rockefeller Foundation in 1917, when the United States of America joined the war. The Commission was under the directorship of Livingston Farrand (President of the University of Colorado). Beyond financial help in creating and strengthening dispensaries and sanatoriums across the country, the Commission was instrumental in raising awareness of the importance of good hygiene in the fight against TB.
The public awareness campaign included an inspired mix of large, colourful posters, film presentations, lectures and pamphlets targeted at children and parents.

In 1919, the role of the commission was taken on by the Comité Nationale de Défense contre la Tuberculose, before its members would organise the first post-war international conference on TB at the Sorbonne University in Paris in 1920. At the opening ceremony on 17 October, representatives of 31 countries pledged to work together to fight TB, and three days later they founded the International Union Against Tuberculosis (IUAT) to support and coordinate their efforts.
One hundred years on, we have won the fight against TB in western Europe, but it remains a huge threat to health and economic prosperity in many other countries. As such, our work continues - across the world - to this day.